診療時間
月〜土:
9:30-13:00 / 14:30-18:00
休診日:
日・祝
〒432-8038
静岡県浜松市中区西伊場町61-19
診療科目

矯正歯科

美しい口元は、あなたに自信を与えてくれます。

今、このページを見ているあなたは歯並びを治したいと思って矯正治療を検討しているのではないかと思います。口元の印象はお顔全体のイメージに繋がるため、歯並びを綺麗にして自信が持てる口元になりたいと思っておられるでしょう。矯正治療は素晴らしい治療です。

歯並びや悪い噛み合わせを改善し、見た目だけでなく歯を失うリスクまで解消してくれるのです。これまで鏡の前で悩んでいたご自身の口元とは別れを告げ、自信が持てる口元になれるよう、当院も最善を尽くして矯正治療を行います。

あなたはどのような歯並びでお悩みですか?

悪い歯並びは様々あります。デコボコしている見た目であればわかりやすいのですが、一見問題ない歯並びに見えてしまうものもあります。中には歯列には問題はないけれど、顎や噛み合わせに問題がある場合もありますので、類似する歯並びがあれば一度ご相談にいらしていただけたらと思います。

叢生・八重歯生
開咬
交叉咬合
過蓋咬合
空隙(すきっ歯)
正中の不一致
出っ歯
受け口
上下顎前突(口ゴボ)

当院が選ばれる5つの理由

審美歯科と矯正歯科の専門性をかけ合わせた治療

当院では、ヨーロッパ審美歯科学会認定医の院長と日本矯正歯科学会認定医が治療を担当しています。”ただ整列した歯並び”を目指すのではなく、あなたにとって最も自然な美しさと長期的に綺麗な歯が長持ちするための機能面を互いの専門性を持ち寄った治療計画を立てられるのが当院の特長です。

一般的な歯科治療や他の審美歯科との組み合わせにも対応

虫歯があるから一緒に治したい
歯茎から血が出るから一緒に診てほしい
銀歯も一緒に治したい
せっかくだから歯の色を白くしたい
歯の形を治したい

など、矯正治療以外に改善したいことも当院へお任せください。
治療計画なども柔軟にご相談しながら、設計することが可能です。

万が一起こった歯肉退縮のリカバリーに対応

矯正治療の1つのリスクは歯肉退縮(歯茎が下がること)です。それによってブラックトライアングルができてしまうことへの不安を持たれる方は少なくありません。当院では歯周形成外科(歯肉移植)やダイレクトボンディングを用いたリカバリー治療にも対応しております。

歯科衛生士が虫歯や歯周病を予防

当院では虫歯や歯周病治療に精通した歯科衛生士が在籍しています。矯正治療中のリスクである虫歯や歯周病を予防するために、プロフェッショナルクリーニングにてメンテナンスを行います。セルフケアの注意点やブラッシング指導、あなたに適した歯ブラシの選定などもサポートさせていただきます。

様々な矯正装置に対応しています

患者さんにとって、気になるのが装置なのではないでしょうか。
当院では矯正専門クリニックと変わらず、表側・裏側・マウスピース型に対応しています。一方で、装置にはメリット・デメリットが存在します。見た目の問題、得意な歯列と不得意な歯列などがあります。例えば、マウスピース型の矯正装置だけで全ての歯列が改善できるわけではありません。当院は様々な装置に対応しているからこそ、そのメリット・デメリットをご共有し、患者さんと納得した方法で治療を進めることができます。

矯正治療で失敗したと後悔しないために

当院には「再矯正治療」を行う方が一定数いらっしゃいます。なぜ再矯正をしなければならないのかというと、噛み合わせが悪いからです。一般的に歯並びが良くなれば噛み合わせも良くなると考えてしまいますが、それは違います。
一見、問題ないと見えるような状態でも、顎の位置がズレることによって、本来噛む位置とは別の所で噛んでいるうちに、どこで噛んでいるかわからなくなってしまうかたもいらっしゃいます。そのために重要なのが「検査と診断」です。

患者さんが矯正治療で失敗したと後悔しないために下記のことに取り組んでいます。

口腔内スキャナで咬み合わせの検査をする

CTやセファロレントゲンでの分析を行っている矯正歯科は多いと思います。 それに加えて、口腔内スキャンを行って噛み合わせの検査を行います。それによって、正しい顎の位置や噛み合わせを特定し、治療計画に反映させていきます。

デジタルシミュレーションで綿密な治療計画を立てる

治療計画を立てるためにデジタルシミュレーションを用いて、歯の軸の方向性を考慮したり、歯の移動を確認しながら理想の治療計画を練り上げていきます。

インターディシプリナリーアプローチによる治療計画の追い込み

患者さんに治療計画を説明する前には、必ず治療に関わる歯科医師・矯正医・歯科衛生士で治療計画を確認し、それぞれの専門性を持ち寄って話し合います。
患者さんにベストな矯正治療を行うために、治療計画を追い込むことで、より実現可能性の高い矯正治療を行うことができます。

骨格に起因する問題「顎変形症」を見逃さない

当院いらっしゃる患者様の4人に1人は、骨格に起因する問題である「顎変形症」の患者さんがいらっしゃいます。以下に掲載する患者さんは歯並びを改善するために来院されたのですが、診査診断を行っていると顎の高さが左右で違ったり、スプリントで顎の位置を正常な状態にすると上下顎の位置関係に異常があり、上顎がかなり前に出ていることがわかります。

顎関節に左右差がある
顎位を補正する前
顎位を補正した後

このように、歯列や咬み合わせの不正は骨格の問題に起因することもあります。
顎変形症の治療は外科を伴うため、患者さんの意思を尊重する形で治療計画を検討していきますが、患者さんがこの事実を知るか知らないかは大きな違いがあります。

当院は診査診断を通じて顎関節症の方を発見した場合は、きちんとご説明を行ったうえで、外科をするか非外科で治療するかを一緒に決めていきます。

審美性と噛み合わせの双方を改善する矯正治療

当院では歯並びという審美的な問題を解決するだけでなく、将来歯のトラブルを起こさないための噛み合わせの改善を目標とした矯正治療を行っています。その目標の源泉となる当院の診療コンセプトである「原因から問題を改善する」を加えた症例をご紹介します。この症例は先程紹介した顎変形症の患者様です。

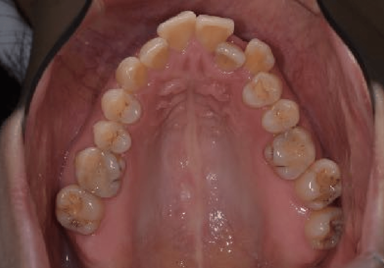
ガタガタな歯並びを改善したい

この患者様は、ガタガタの歯並びを治したいという主訴で来院されました。
二級咬合(いわゆる出っ歯)に分類され、叢生もあります。写真で見ると、側方の写真では前歯が出ていて、正面から見ると互い違いのは並びになっているように見えます。
これらの問題を解決するために、診査診断を行いました。

診査診断をすると左右の顎の高さが違う

レントゲンを見ると、顎関節に左右差があることがわかりました。 これがわかることによって、顎の位置がズレている可能性があることが予測できます。

実際にCTで顎関節を見てみると、左右ともに前方へ位置していることがわかります。 この他にもMRIを撮っているのですが、明らかに顎関節の位置が違うことがわかったので、正しい位置に補正するためにスプリント(マウスピース)を入れました。

顎の位置が補正されると前歯の位置関係に変化がでた

顎位を補正する前
顎位を補正した後

スプリントを入れて顎の位置を補正する前後の写真です。 元々前方に位置していた顎関節が正常な位置に戻ると、下顎が引っ込む形になるため、上下顎の前歯の位置関係が広がり、オーバージェットと呼ばれる状態になっています。

スプリント前の右の顎関節
スプリント後の右の顎関節
スプリント前の左の顎関節 
プリント後の左の顎関節

一方顎関節の状態を見てみると、位置が安定した状態になっていることがわかりました。

これらの診査診断により、顎変形症であると診断されたため、患者様と治療計画をいくつかご提案したうえで、顎変形症の根本治療である外科矯正を選択されました。

外科治療前の状態

外科治療前の状態です。上下のアーチは綺麗になっているものの、側方から見るとオーバージェットの状態が残っています。

外科治療後の状態

外科矯正後の口腔内の状態です。側方から見てもオーバージェットが改善されていることがわかります。
顎位を補正する前
顎位を補正した後

レントゲンを見ると顕著ですが、外科治療前は前歯の位置関係がかなり離れていましたが、外科治療後は大幅に改善され、良好な状態になっています。

綺麗な歯列や噛み合わせを取り戻すことができました。

患者さんの努力もあり、綺麗な歯列や噛み合わせを取り戻すことができました。 安定した状態を維持するために、現在も定期的な経過観察を行いながらメンテナンスを続けています。

不安なことがあればまずはご相談ください

矯正治療は他の治療よりも期間が長く、治療費も高くなります。

その分、やり直しを気軽にすることはできないため「できれば失敗せずに、綺麗な歯並びにしたい」と思っている方は多いのではないでしょうか。

当院は治療の前に必ず相談を承っております。矯正治療のセカンドオピニオンも承っておりますので、お気軽にご相談ください。

セカンドオピニオン
RESERVATION

診療予約・相談予約

当院では診療予約だけでなく、診療相談も受け付けております。
お電話もしくは予約フォームよりご連絡をお願い致します。
完全予約制となっております。ご了承ください。
診療時間
9:30 - 13:00
14:30 - 18:00

休診日: 日・祝

                   

〒432-8038 静岡県浜松市中央区西伊場町61-19

お知らせ